2023.10.11 11:45 Son Güncellenme: 2023.10.11 11:46 - GÜNDEM
İzmir polisi, yurtdışından kente uyuşturucu getireceğinin istihbaratını alması üzerine tespit edilen 5 kişiyi İzmir Adnan Menderes Havalimanı'nda yakalarken, akılalmaz bir manzarayla karşılaşıldı.
Edinilen bilgiye göre olay, İzmir Adnan Menderes Havalimanı'nda meydana geldi. İzmir İl Emniyet Müdürlüğüne bağlı Narkotik Suçlarla Mücadele Şube Müdürlüğü ekipleri, yurtdışından kentte uyuşturucu madde getirileceği bilgisinin edinilmesi üzerine operasyon başlattı.

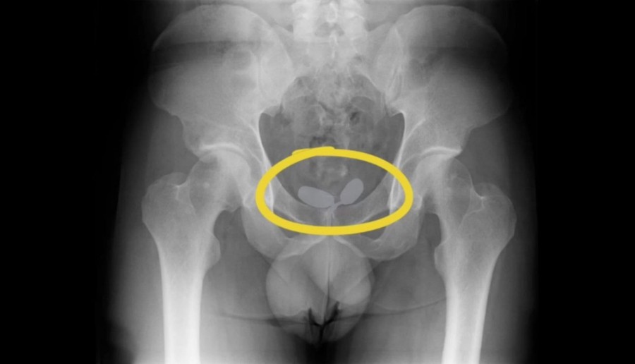
KADININ CİNSEL ORGANINDAN, ERKEĞİN ANÜSÜNDEN UYUŞTURUCU ÇIKTI
Alınan istihbarat doğrultusunda 2'si yabancı uyruklu toplamda 5 kişi yakalanarak gözaltına alındı. Yapılan röntgen muayenesinde, uyuşturucu kaçakçılarının akılalmaz oyunu ortaya çıktı.
Yapılan röntgen muayenesinde, Alman uyruklu kadının cinsel organında prezervatifler içerisine gizlenmiş uyuşturucular ele geçirildi. Diğer Alman yabancı uyruklu erkeğin ise uyuşturucuları anüsüne gizlediği belirlendi. Yapılan muayene sonrası; 21,19 gram eroin, 12,70 gram kokain, 7,76 gram amfetamin, 7 adet sentetik ecza ele geçirildi.

Operasyonda yakalanan 2'si yabancı uyruklu olmak üzere 5 şüpheli, emniyetteki işlemleri tamamlandıktan sonra adliyeye sevk edildi.