Bursa
Çok Bulutlu
3.4°
Başka Gazete

Çin'de çocukları etkileyen "gizemli zatürre salgını" ile ilgili korkutan detay ortaya çıktı

2023.12.13 17:07 Son Güncellenme: 2023.12.13 17:07 - SAĞLIK

Son haftalarda Çin'de özellikle çocukları etkileyen "gizemli zatürre salgını" ile ilgili yeni bilgiler gelmeye başlarken bilim insanları yeni bir detaya değindi.

Çin'de çocukları etkileyen "gizemli zatürre salgını" ile ilgili korkutan detay ortaya çıktı

2019'un son haftalarında ortaya çıktıktan kısa bir süre sonra bütün dünyaya yayılan corona virüsü salgınının ilk görüldüğü Çin'de devam eden "gizemli zatürre salgını" endişe yaratmaya devam ediyor.

Özellikle çocuklarda yoğun olarak görülen ve yüksek ateşe sebep olan bu hastalık ile ilgili net bir açıklama yapılmazken bilim insanları yeni bir detaya dikkat çekti.

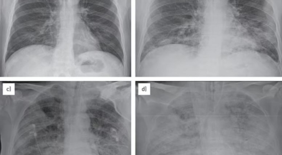
Bilim insanları Çin'de antibiyotik kullanımının çok yoğun olduğuna dikkat çekerek ülkede "beyaz akciğer zatürre salgınına" sebep olan süper-mikropların bu hastalığa sebep olabileceğini belirtti.

ÇİN'DE ORAN YÜZDE 90

Çin'de antibiyotik ilaç kullanımının normalde çok yüksek olduğunu ve bu durumun da yeni hastalıkları antibiyotiklere karşı daha dirençli hale getirdiğini belirten uzmanlar, "Zatürreye sebep olan enfeksiyonların arkasında antibiyotik direnci yatıyor olabilir" ifadelrini kullandı.

Frontiers in Microbiology isimli hakemli tıp dergisinde yer alan araştırmada bu hastalığa sebep olan bakterilerin yüzde 90'ının antibiyotiğe dirençli olduğu belirtildi.

GRİPTE BİLE ANTİBİYOTİK VERİLİYOR

Bu oranın ABD ve Avrupa'da yüzde 10 ile yüzde 15 seviyelerinde olduğu da aktarıldı.

Bilim insanları bu duruma "beyaz akciğer zatürre salgını" adını verirken bunun sebebi olarak da röntgende hastaların ciğerlerinin beyaz renkte opaklaşması gösterildi. ABD'nin önde gelen medya kuruluşlarından Bloomberg de Çin'de antibiyotik kullanımının çok yoğun olduğunu ve bazı doktorların grip ve soğuk algınlığında bile ilk olarka antibiyotikleri kullandığını yazdı.