Bursa
Açık
20.2°
Başka Gazete

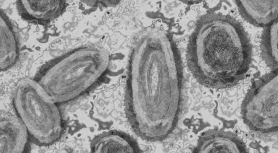
Pekin'de maymun çiçeği virüsü görüldü

2023.06.07 21:30 Son Güncellenme: 2023.06.07 21:30 - DÜNYA

Pekin'de maymun çiçeği virüsü nedeniyle 2 kişi karantinaya alındı.

Pekin'de maymun çiçeği virüsü görüldü

Dünya genelinde endişelere neden olan maymun çiçeği virüsü Çin'in başkenti Pekin'de görüldü. Pekin Hastalık Önleme ve Kontrol Merkezi tarafından yapılan açıklamada, yurt dışı kaynaklı bir vaka görüldüğü ve bu vakayla temaslı bir kişide daha virüs tespit edildiği belirtildi.

Yapılan açıklamada virüs bulaşan 2 kişinin hastanede karantinaya alındığı, belediye ve ilçe sağlık kurumları tarafından temaslı takibi yapıldığı kaydedildi. Tedavi altına alınan hastaların durumunun stabil olduğu açıklandı.

Orta ve Batı Afrika ülkelerinde yaygın olarak görülen maymun çiçeği virüsü şuana kadar 111 ülkede tespit edildi. Dünya Sağlık Örgütü (DSÖ) tarafından 11 Mayıs'ta yapılan açıklamada, maymun çiçeği virüsünün yüzde 90 oranında azaldığı ve artık uluslararası öneme sahip bir halk sağlığı acil durumu olmaktan çıkarıldığı ifade edilmişti.

Çiçek hastalığı ile benzerlik taşıyan maymun çiçeği virüsü buluşan hastalarda yüksek ateş, baş, sırt ve kas ağrıları, üşüme ve titreme, ciltte döküntü gibi belirtiler görülüyor.