2024.11.17 17:06 Son Güncellenme: 2024.11.17 17:16 - GÜNDEM
Antalya'da yaptığı seyahat dönüşü öksürme ve hapşırma krizlerine tutulup grip olduğunu düşünen yat kaptanı hastaneye başvurduğundan hayatının şokunu yaşadı. Ameliyata alınan kaptan 10 dakikalık operasyon sonucu sağlığına kavuştu.
Öksürük ve hapşırık krizine girdi, hastanede çıkan sonucu görünce hayatının şokunu yaşadı...
Yat kaptanlığı yapan 45 yaşındaki Ömer Can, çıktığı uzun seyahat sonrası önce omuzunda ağrı hissetti sonra da öksürük ve hapşırma krizleri geçirince grip olduğunu düşündü.
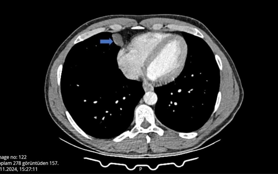
Can, nefes almakta güçlük yaşayınca Şanlıurfa'nın Akçakale ilçesinde hastane aciline başvurdu. Burada tomografisi çekilen Can'ın, akciğer ile kalbinin arasında bir kist olabileceği belirtildi.
Can, çevresindekilerin tavsiyesi üzerine detaylı araştırma ve inceleme için, Antalya Eğitim ve Araştırma Hastanesine başvurdu.
Gerekli tetkikleri yapılan Ömer Can'ın, belirtilen bölgesinde yaklaşık 2 santimlik bir kist olduğu tespit edildi ve hemen ameliyata alındı.
Göğüs Cerrahi bölümünde Video Yardımlı Torakoskopik Cerrahi (VATS) yöntemiyle gerçekleşen ameliyat yaklaşık 10 dakika sürdü.
Hastanede ilk kez tüpsüz olarak gerçekleştirilen ameliyat sonrası Ömer Can sağlığına kavuştu, 1 gün sonrası ise taburcu edildi.

"ÖKSÜRÜRKEN NEFESİM KESİLİYORDU"
Süreci anlatan Ömer Can, şunları söyledi:
"Uzun bir seyahate çıktım. Seyahat dönüşü soğuk algınlığı gibi bir şey oldu. Omuzumdan bir ağrı başladı ve nefes alırken, öksürürken, hapşırırken nefesim kesiliyordu. Hastane aciline gittim, kist olduğunu söylediler ve burada Eğitim ve Araştırma Hastanesi'ni önerdiler.
Kistin ciğerden kalbe sıçramak üzere olduğunu söylediler. Hemen ameliyata alındım ve 1 günde sağlığıma kavuştum. Ben komple göğüs kısmımın açılacağını sanıyordum ve açıkçası korkmuştum.
Küçük bir noktadan girildi ve bu kadar hızlı taburcu olacağını düşünmüyordum. Hocalarımdan Allah razı olsun."
